![]() |
|
01
在人类与疾病抗争的漫长历史中,白发常被视为岁月流逝的印记。然而,一项发表于《Nature Cell Biology》的突破性研究颠覆了这一认知——头发变白实则是人体启动的一种抗癌保护机制。日本东京大学的研究团队,通过十年追踪发现:环境暴露组(exposome)对毛囊干细胞(McSCs)的损伤,竟在细胞命运层面编织出"衰老"与"癌症"的双重命运网络。
02
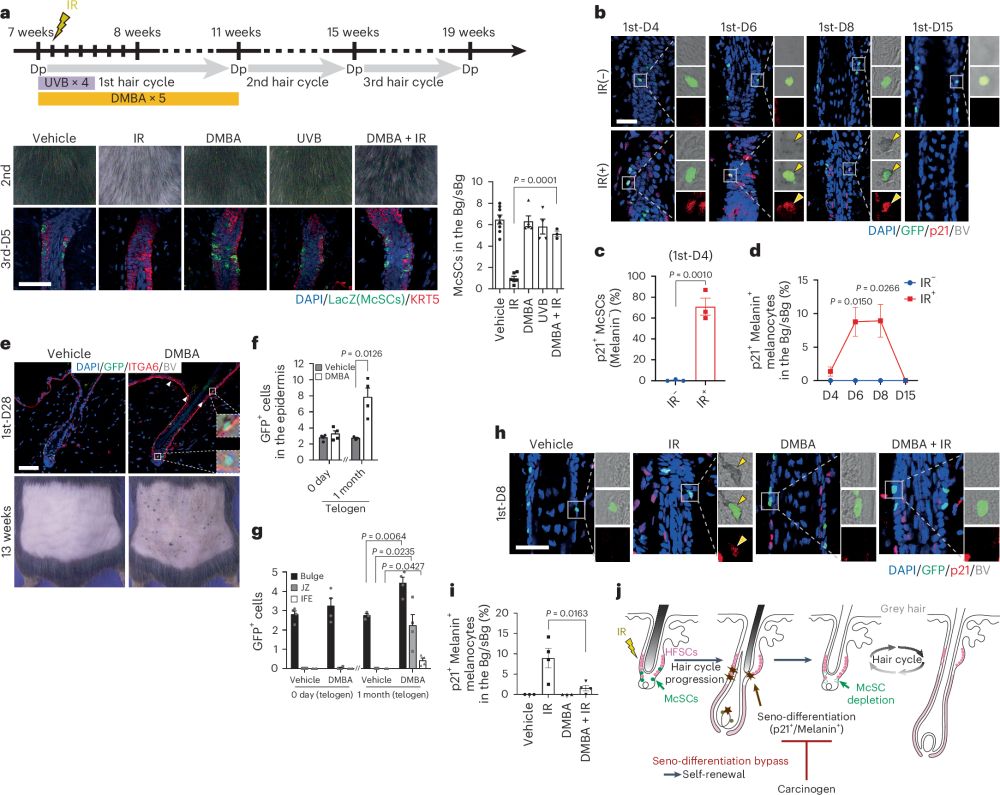
研究团队利用活体细胞命运追踪技术,首次揭示了毛囊干细胞应对不同环境压力的精密调控机制。当遭遇电离辐射或化疗药物等DNA损伤因子时,黑色素细胞干细胞(McSCs)会启动名为"衰老分化耦联"(seno-differentiation)的程序:这些受损干细胞在进入细胞周期后,同步激活p53-p21信号通路,既停止自我更新,又异常分化为色素细胞。这种看似"自杀"的细胞命运选择,实则通过清除高危突变细胞,有效遏制了黑色素瘤的发生。
但环境致癌物却演化出截然不同的策略。研究显示,7,12-二甲苯蒽(DMBA)等化学致癌物通过激活花生四烯酸(AA)代谢通路,使McSCs绕过衰老程序。更惊人的是,这些致癌物还能诱导毛囊干细胞微环境(niche)分泌KIT配体(KITL),不仅维持干细胞自我更新,更促使它们迁移至表皮形成"癌前克隆"。在实验中,接受DMBA处理的小鼠,其毛囊干细胞的自我更新能力提升3.2倍,而对照组因辐射损伤导致的干细胞耗竭现象被完全逆转。
这种"环境暴露组-干细胞命运"的双向调控,在衰老进程中呈现动态博弈。单细胞测序数据显示,24月龄(相当于人类70岁)小鼠的毛囊微环境中,KITL、内皮素-1(Edn1)等干细胞维持因子的表达水平下降57%-68%。这种生理性信号衰退,导致老年个体更易出现白发,却意外增强了抗癌屏障。研究团队通过构建K14-Kitl转基因小鼠验证:当强制表达KITL时,老年小鼠的毛囊干细胞存活率提升40%,但黑色素瘤发生率同步上升3倍。
致癌性应激会拮抗头发变白和毛囊干细胞(McSC,Melanocyte Stem Cell 的缩写)耗竭
在黑色素瘤发生机制研究中,科学家发现了令人震撼的"干细胞命运战场":携带BRAFV600E突变的McSCs,在辐射损伤后仍能维持28%的存活率,而对照组存活率仅为5%。这种致癌突变通过劫持MITF信号通路,使干细胞获得"免疫豁免"特权。研究团队在人体高慢性日光损伤型黑色素瘤样本中,检测到病变周围表皮的KITL表达水平是正常皮肤的4.6倍,证实了动物模型的发现。
03
这项研究改写了我们对衰老与癌症关系的认知。过去认为随机发生的基因突变累积导致癌症,但新证据显示:环境暴露组通过精确调控干细胞命运,主导着"衰老表型"与"肿瘤发生"的此消彼长。研究还揭示了令人深思的临床悖论——近年来流行的"清除衰老细胞"(senolytics)疗法,在动物实验中反而增加了黑色素瘤风险1.8倍,因为破坏了自然的干细胞清除机制。
每个白发毛囊都是被清除的潜在肿瘤克隆,这解释了为何老年人白发区域极少发生黑色素瘤,而新发黑色素瘤多出现在色素保留区域。研究团队正在开发基于KITL信号检测的早期癌症筛查技术,未来或许通过分析毛囊干细胞的代谢特征,就能预警皮肤癌风险。

这项突破为抗衰老与抗癌治疗提供了全新思路。当科学家在实验室通过调控AA代谢逆转McSC衰老时,不仅恢复了毛发色素,更将干细胞突变负荷降低了40%。或许在不久的将来,我们既能延缓白发产生,又能筑牢抗癌防线——在岁月流逝中守护生命的双重尊严。
参考
Mohri, Y., Nie, J., Morinaga, H. et al. Antagonistic stem cell fates under stress govern decisions between hair greying and melanoma. Nat Cell Biol (2025). https://doi.org/10.1038/s41556-025-01769-9
| 当前新闻共有0条评论 | 分享到: |
|
||||||||||
| 评论前需要先 登录 或者 注册 哦 |
||||||||||||
| 24小时新闻排行榜 | 更多>> |
| 1 | 明明是世界领土大国,她偏要伪装成弹丸小国 |
| 2 | 爆北京拉响警报:2026头号风险浮出水面 |
| 3 | 中国金融圈炸锅,投行“第一美女”栽了 |
| 4 | 北京七环隧道大爆炸传出惊人内幕 |
| 5 | 消息:中共少校飞行员驾机自戕身亡 |
| 48小时新闻排行榜 | 更多>> |
| 1 | 波兰参战了 |
| 2 | 要玩真的了!他点名警告习近平 |
| 3 | 明明是世界领土大国,她偏要伪装成弹丸小国 |
| 4 | 万劫不复!中国正在重演晚清最后十年 |
| 5 | 会议内幕曝光!习等四人遭“围攻” |
| 6 | 更多人出事?北京流传神秘名单 |
| 7 | 北京大秀肌肉时刻,一张“致命照片”被公布 |
| 8 | 爆北京拉响警报:2026头号风险浮出水面 |
| 9 | 中国金融圈炸锅,投行“第一美女”栽了 |
| 10 | 北京七环隧道大爆炸传出惊人内幕 |
| 一周博客排行 | 更多>> |
| 1 | 2026年1月1日A4白纸自由宣言 | 万维网友来 |
| 2 | 刷屏的美国“斩杀线”与中共的 | 解滨 |
| 3 | 回国杂感:仓颉造字成真,有图 | 思芦 |
| 4 | (图文)不受欢迎的圣诞 | 范学德2 |
| 5 | 梅兰芳和兩位仍然在世的入室弟 | 玉质 |
| 6 | 中共倒台路径预测 | 遍地是贪官 |
| 7 | 安芃:男人的出轨和女人的出轨 | 水沫 |
| 8 | 中共国的金融危机何时爆发? | 山蛟龙 |
| 9 | 美国斩杀线:愚昧和麻木 | 汪翔 |
| 10 | 美国巨变:特朗普把三大最争议 | 文礼 |
| 一周博文回复排行榜 | 更多>> |
| 1 | 台湾问题:麻将停牌 | 随意生活 |
| 2 | 中共倒台路径预测 | 遍地是贪官 |
| 3 | 梅兰芳和兩位仍然在世的入室弟 | 玉质 |
| 4 | 川普到底卖了乌克兰没有? | 山蛟龙 |
| 5 | 第一美女:《越人歌》-宋祖英 | YOLO宥乐 |
| 6 | 做这道题,知道明年你要去哪? | 末班车 |
| 7 | 中共国的金融危机何时爆发? | 山蛟龙 |
| 8 | 关于离岸爱国 | 阿里克斯Y |
| 9 | 海外中文出版的新路基本开通, | 高伐林 |
| 10 | 70%美国大学毕业生找不到工作 | 乐维 |